...

Doctors Discover Unexpected Treasure in Woman’s Knees

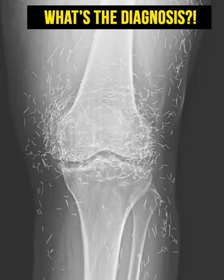
When a 65-year-old woman from South Korea went to a clinic for persistent knee pain, doctors expected a standard case of osteoarthritis. What they found, however, surprised everyone and would make headlines in medical journals.

Living with osteoarthritis can be exhausting. The condition gradually erodes cartilage in the joints, causing stiffness, swelling, and chronic pain.

Daily activities that were once easy can become daunting and emotionally draining over…
CONTINUE READING…

Categories: News

Leave a reply

Your email address will not be published. Required fields are marked *