When a 65-year-old woman from South Korea went to a clinic for persistent knee pain, doctors expected a standard case of osteoarthritis. What they found, however, surprised everyone and would make headlines in medical journals.
Living with osteoarthritis can be exhausting. The condition gradually erodes cartilage in the joints, causing stiffness, swelling, and chronic pain.
Daily activities that were once easy can become daunting and emotionally draining over time. For this woman, simple tasks like climbing stairs, bending to tie her shoes, or even walking short distances became painful and slow. Her mobility was significantly reduced, affecting her quality of life and independence.
Over the years, she tried conventional treatments, including pain relievers and anti-inflammatory medications. Unfortunately, these only offered minimal relief and caused undesirable side effects, especially stomach discomfort, which added to her health concerns.
Frustrated by limited results from medications, she turned to alternative therapies. Acupuncture, a centuries-old practice rooted in traditional Asian medicine, was her next option, and it promised potential pain relief without the gastrointestinal issues.
Acupuncture involves inserting fine needles into specific points on the body to relieve pain or improve overall health. In some traditional practices, tiny pieces of gold are used instead of standard stainless steel needles.
In her case, the needles—believed to be gold—were left inside her knees intentionally. This practice, known as intradermal or retained acupuncture, is intended to provide continuous stimulation to the joint and prolong therapeutic effects.
While retained acupuncture is relatively rare, it remains a common approach for arthritis treatment in parts of Asia. Practitioners believe that the constant stimulation helps reduce joint pain and inflammation over time.
However, leaving any foreign object inside the body carries inherent risks. Complications can include local inflammation, abscess formation, infection, and chronic irritation, which can worsen a patient’s health if not properly monitored.
“Foreign objects left inside the body can lead to inflammation, abscesses, and infection,” explained Dr. Ali Guermazi, a radiology professor at Boston University, who was not involved in this specific case but has studied retained acupuncture effects.
Embedded needles can also interfere with imaging procedures. X-rays may become less clear, and in some cases, needles can obscure critical anatomical structures, complicating diagnosis and treatment of other conditions.
“The human body tends to treat any foreign object as a threat,” Guermazi noted. The reaction often begins with inflammation, followed by the formation of fibrous tissue around the object, which can create discomfort or impede joint function.
Another concern arises with magnetic resonance imaging (MRI). Metallic needles, including gold, can shift during the procedure, potentially causing tissue damage or injuring nearby arteries, making retained acupuncture a serious consideration before imaging.
Despite these risks, acupuncture remains widely used around the world. Many patients with arthritis, joint pain, or musculoskeletal conditions seek it as a less invasive alternative to surgery or long-term medication use.
Evidence supporting acupuncture’s effectiveness is limited and mixed. Some studies suggest minor improvements in pain and function, while systematic reviews indicate that results often depend on patient perception and placebo effects.
In South Korea, inserting tiny sterile gold threads around a joint is a traditional treatment for osteoarthritis. This method is thought to stimulate blood flow, promote healing, and reduce pain, although rigorous scientific validation is still lacking.
In the United States, acupuncture is also increasingly popular. In 2007, approximately 3.1 million adults and 150,000 children received acupuncture treatment, according to the National Center for Complementary and Alternative Medicine at the National Institutes of Health.
Patients often report that acupuncture sessions provide relaxation and temporary pain relief. However, complications from improperly sterilized or retained needles, especially metal ones, can outweigh benefits in certain cases.
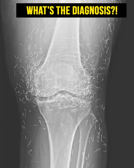
In this woman’s case, imaging studies revealed multiple gold needles embedded deep within her knee joints. Radiologists were surprised by the density and number of retained objects, which created both clinical interest and concern.
Retained needles can act as a “foreign body,” triggering chronic inflammatory responses. The body often tries to isolate the object with fibrous tissue, sometimes resulting in swelling, tenderness, or decreased mobility in the affected joint.
For this patient, the discovery was a cautionary tale about the unintended consequences of alternative therapies. While gold needles are generally considered inert, their presence inside a joint is unusual and requires careful monitoring.
Medical professionals emphasize the importance of discussing all treatments with a licensed physician, particularly when considering retained acupuncture or any therapy that introduces permanent foreign objects into the body.
Despite the risks, many patients continue to pursue acupuncture for pain relief. The procedure is generally safe when performed by trained professionals, with most complications arising from improper technique, infection, or retained needles.
In traditional East Asian medicine, gold is believed to have healing properties, including promoting circulation and reducing inflammation. These cultural beliefs continue to influence treatment choices for arthritis patients in countries like South Korea and China.
Modern imaging techniques, including X-rays and MRIs, can detect these embedded needles. Radiologists must consider retained metal when interpreting images, as it can interfere with diagnostic clarity and obscure underlying conditions.
Retained acupuncture needles are not just a curiosity; they can complicate future treatments. If the patient ever requires knee surgery or other procedures, surgeons must be aware of the metal objects to avoid accidental injury or complications.
Doctors also caution that retained needles can lead to localized infections. Although gold is relatively inert, bacteria can colonize around the foreign material, increasing the risk of joint infections that may require antibiotics or surgical removal.
The story of this 65-year-old woman highlights the intersection of traditional medicine and modern healthcare. While alternative treatments may provide symptom relief, patients and physicians must balance benefits with potential long-term risks.
For some, acupuncture remains a valuable option, particularly for patients intolerant to oral medications or seeking non-pharmacological pain management. The key is ensuring treatments are administered safely and monitored closely for adverse effects.
The case has drawn attention in medical literature, including the New England Journal of Medicine, as an unusual example of retained gold needles and the potential complications associated with alternative therapies for osteoarthritis.
Medical experts urge caution. While acupuncture is generally considered low-risk, procedures that leave permanent objects in the body require careful oversight, informed consent, and awareness of potential consequences.
Ultimately, this patient’s gold-laden knees serve as a literal and metaphorical reminder: alternative medicine can leave lasting impressions, both positive and potentially harmful, emphasizing the importance of informed healthcare decisions.
Despite the unusual findings, the woman reportedly experienced some relief from her knee pain, illustrating why patients continue to pursue complementary therapies even with limited scientific evidence supporting long-term effectiveness.
Healthcare providers stress that open communication is vital. Patients should inform doctors of any acupuncture, herbal treatments, or retained objects to prevent complications during imaging, surgery, or other medical interventions.
This case also underscores the need for rigorous research into alternative therapies. While acupuncture has been used for centuries, large-scale, high-quality studies are still needed to evaluate its safety and efficacy for osteoarthritis treatment.
For the millions of adults and children receiving acupuncture worldwide, this story serves as both a curiosity and a caution. Awareness of potential risks ensures that patients can make informed decisions about their care.
In conclusion, retained gold needles in knee joints represent a rare but important phenomenon in medicine. While traditional practices offer potential relief, modern medicine reminds us that every treatment carries both benefits and risks.
Careful monitoring, patient education, and collaboration between alternative and conventional healthcare providers are essential. This ensures that treatments like acupuncture enhance well-being without introducing avoidable complications.
Even though the needles remain in her knees, the woman’s story illustrates the complex balance between cultural practices, patient choices, and modern medical safety standards, shedding light on the evolving landscape of pain management worldwide.
For osteoarthritis patients exploring non-traditional options, this case highlights the importance of choosing qualified practitioners, understanding risks, and coordinating care with licensed physicians to ensure both safety and potential therapeutic benefit.
Ultimately, the woman’s experience with gold needles reminds us that alternative therapies can offer hope, but they also demand vigilance, scientific scrutiny, and informed patient decisions to prevent unintended consequences.




